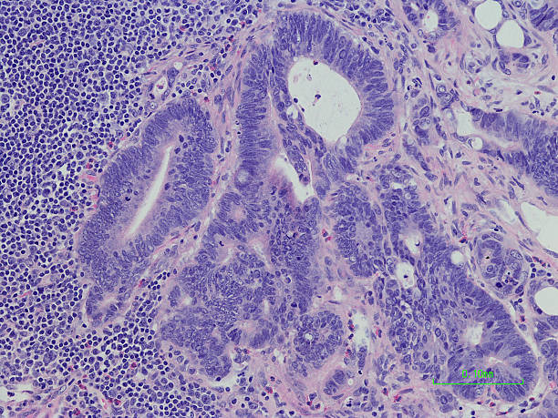
오늘은 대장암 초기증상에 대해 알아보도록 하겠습니다. 대장암은 폐암 다음으로 발병률이 높은 암인데요. 보통 중년층에서 많이 발생했었지만 최근들어 40대 이전 발병률 또한 굉장히 높아지고 있다고 합니다. 불규칙한 생활습관과 식습관으로 인해 발병률이 많이 증가한 것으로 보이는데요. 모든 암이 그렇듯 대장암은 초기에 발견하고 치료받는 것이 굉장히 중요합니다.
오늘 알려드릴 대장암 초기증상을 살펴보시고 본인에게 해당되는 건 없는지 한번 살펴보시면 좋겠습니다.

대장암 초기증상 1. 혈변






대장암 초기증상 첫 번째는 혈변인데요. 혈변 증상은 대변이나 대변에서 피가 묻어나오는 증상을 말해요. 치질이나 치질 등의 문제로 인해 일시적으로 혈변이 나타날 수 있지만 혈변이 계속해서 변에 섞여 있거나 혈액이 많은 경우 소화나 연동운동 중에 대장에서 혈액이 빠져나와서 발생할 수 있어요. 혈변은 암세포가 대장 표면에서 자랄 때 발생하는 출혈일 수 있기 때문인데요.
대장암 초기증상 2. 변비
대장암 초기증상 두 번째는 변비인데요. 대장은 영양분을 흡수하고 노폐물을 배출하는 기관인데요. 대장에 문제가 생기면 배설에 문제가 생기는데 실제 대장암 환자의 약 15%는 잦은 변비 증상을 경험하기 시작해요. 변비도 대변을 만들어 대장에 달라붙어 유해가스나 독소를 생성해 대장 내벽에 악영향을 미쳐 악성종양을 일으킬 수 있으며. 그리고 대장이 아니더라도 몸에 악영향을 미치므로 변비나 배변 관리를 하는 것이 좋아요.
대장암 초기증상 3. 빈혈






대장암 초기증상 세 번째는 빈혈인데요. 장 내벽에 암 세포가 발생하게되면 내부 출혈이 발생할 수 있어요. 지속적인 출혈은 또한 빈혈의 증상을 나타낼 수 있어요. 빈혈은 혈액 내 적혈구 수가 떨어지고 산소가 뇌로 원활하게 전달되지 않을 때 발생하므로 평상시에 휴식을 충분히 취했음에도 빈혈기가 보인다면 대장에서 생긴 문제가 아니더라도 복합적인 문제로 빈혈이 일어날 수 있어 검사를 받는 것이 좋아요.
대장암 초기증상 4. 체중감소
대장암 초기증상 네 번째는 체중감소인데요. 별다른 이유없는 별다른 이유없는 체중감소는 살펴보아야 할 건강 적신호인데요. 다이어트나 피로, 별다룬 이유없이 무기력증과 체중감소가 동반할 경우 대장 뿐 아니라 몸 어딘가에 기능이 문제가 생긴 것일수도 있기 때문에 신경을 쓰셔야 해요
대장암 초기증상 5. 복통






대장암 초기증상 다섯 번째는 복통인데요. 대장암은 데징 내벽 세포의 비정상적인 증식으로 인해 복통을 일으킬 수 있어요. 그러나 복통에는 여러 가지 이유가 있기 때문에 성급하게 대장암 초기증상으로 결론을 내리는 것은 타당치 않아서 복통의 위치를 주의 깊게 관찰해야 하며 양태를 확인해야 하는데 위의 가슴 부분에 복통이 발생하게되면 위장에 문제가 있는 것인데요. 위 오른쪽 아래에 지속적인 통증, 무감각 또는 경련이 있다면 대장 쪽에 문제가 생겼을 가능성이 크므로 전문 병원에서 검사를 받으시는 것이 좋아요.
대장암 초기증상 6. 배변 장애
대장암 초기증상 여섯 번째는 배변장애인데요. 변비와 같이 대장에 문제가 생기면 배설이 어려워지게 돼요. 그리고 일정 기간 평상시와 다른 패턴을 유지할 경우 대장암 초기 증상을 의심해 볼 수 있어요. 정상적인 배설과 달리 변기에 오래 앉아 있어야 할 등의 이상 증상이 느껴진다면 주의를 기울여야 합니다. 배변 패턴이 달라짐이 느껴질 정도라면 대장에 종양이 생겼을 가능성이 있으니 병원에 가셔서 치료를 받으시기 바래요.
대장암 초기증상 7. 구토






대장암 초기증상 일곱 번째는 구토인데요. 구토는 위 문제나 소화 불량으로 인해 발생할 수 있어요. 그러나 대장 세포가 암세포로 인해 제 역할을 하지 못하게되면 지속적인 구토가 발생할 수 있어요. 반복되는 구토는 역류성 식도염 및 탈수와 같은 문제를 유발할 수도 있어요. 뚜렷한 이유 없이 구토가 지속되면 의사의 진료를 받으시기 바래요.
대장암 초기증상 8. 무기력증
대장암 초기증상 여덟 번째는 무기력증인데요. 대장은 우리 몸의 대표적인 면역기관이자 영양분을 흡수하는 소화기관이라서 대장에서 대장암이든 여러 문제가 생기면 이런 기능을 수행하지 못하게 되고 이로 인해서 우리 몸의 신진대사에 필요한 영양소를 흡수할 수 없어요. 이것은 몸을 항상 피곤하고 무기력하게 만들므로 충분한 휴식을 취하는 것이 좋으면 충분한 휴식에도 불구하고 무기력한 증상이 이어진다면 역시 검사를 받는 것이 중요해요.
대장암 초기증상 9. 복부 팽만감






대장암 초기증상 아홉 번째는 복부팽만감인데요. 대장에 암세포가 증식하기 시작하게되면 가스 배출이 원활하지 않아 복부팽만 등의 불편함을 유발합니다. 섭식 장애나 소화 불량으로 일시적인 불편함을 느낄 수 있지만 증상이 지속되고 일시적이지 않으면 의사에게 진단을 꼭 받으셔야 해요.
대장암 초기증상 10. 방귀
대장암 초기증상 열 번째는 잦은 방귀인데요. 방귀는 소화 과정에서 일어나는 자연 현상 중 한가지로 고기와 같은 육류를 먹으면 방귀가 더 많이 나오고 냄새가 오래 남습니다. 하지만 방귀의 빈도와 냄새가 이유 없이 변하고 보다 횟수가 늘기 시작할 경우 반드시 암이 아니더라도 대장 건강을 살펴봐야 해요.
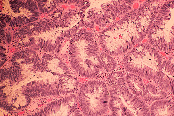
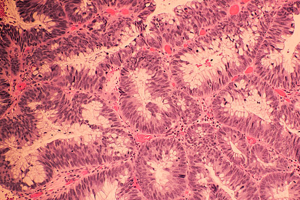
대장암 치료



대장암 치료는 암의 단계와 암세포의 크기에 따라 다릅니다. 암세포가 점막에만 분포되어 있다면에는 복부 내시경을 통해 암세포만을 제거해서 치료할 수 있어요. 하지만 대장의 점막하층으로 전이되더라도 내시경을 통한 절개 없이 충분히 제거가 가능합니다. 그러나 전이가 진행되어 점막하층이 심하게 침윤된 경우에는 절개 후 암세포를 제거해야 해요.
수술 외에도 항암 치료도 필요한데 항암 치료는은 암세포를 구성하는 물질을 표적으로 삼아 제거하는 방법이나 약물의 독성이 암세포뿐 아니라 정상 조직까지 퍼져 갖가지 합병증을 일으킬 수 있기도 하고 힘든 과정이지만 완치를 위해서는 피하기 어려운게 아직까지 현실인데요.
함께 볼만한 글
국민연금 해지 방법과 조건 2023 - 원픽인포
오늘은 국민연금 해지 방법 3가지와 조건에 대해 알아보도록 하겠습니다.
devastatingdesire.com
건강검진 대상자 조회 방법 2023 - 원픽인포
100세시대를 맞이하여 건강하게 살아가는 건 매우 중요합니다. 스스로가 건강한지 확인하는 건 더 중요한데요. 그래서 국가에서는 건강검진이라 하는 제도를 실시하고 있습니다. 건강검진 대상
devastatingdesire.com
보건증 인터넷 발급 방법 2023 - 원픽인포
현재는 건강진단결과서라는 이름으로 변경된 보건증. 식품분야 종사자라면 반드시 필요한데요. 보건소에 가셔서 보건증 검사를 받으셨다면 인터넷으로 발급 받으실 수 있습니다. 오늘은 보건
devastatingdesire.com
국민연금 납부내역조회 방법 2023 - 원픽인포
안녕하세요 오늘은 국민연금 납부내역조회를 알아볼텐데요. 납부내역 조회를 통해 내가 미래에 받을 수 있는 국민연금의 금액을 확인할 수 있어요. 그리고 국민연금 납부액, 납부월수 등을 확
devastatingdesire.com
2023년 유망 창업 아이템 Best 5 - 원픽인포
많은 분들이 창업에 관심을 갖고 계십니다. 회사에서 나와 나만의 사업을 해보고 싶은 분들이 많이 계실텐데요. 하지만 무슨 사업을 해야할지 처음엔 막막하기만 합니다. 창업 아이템을 선택할
devastatingdesire.com